2025年9月10日





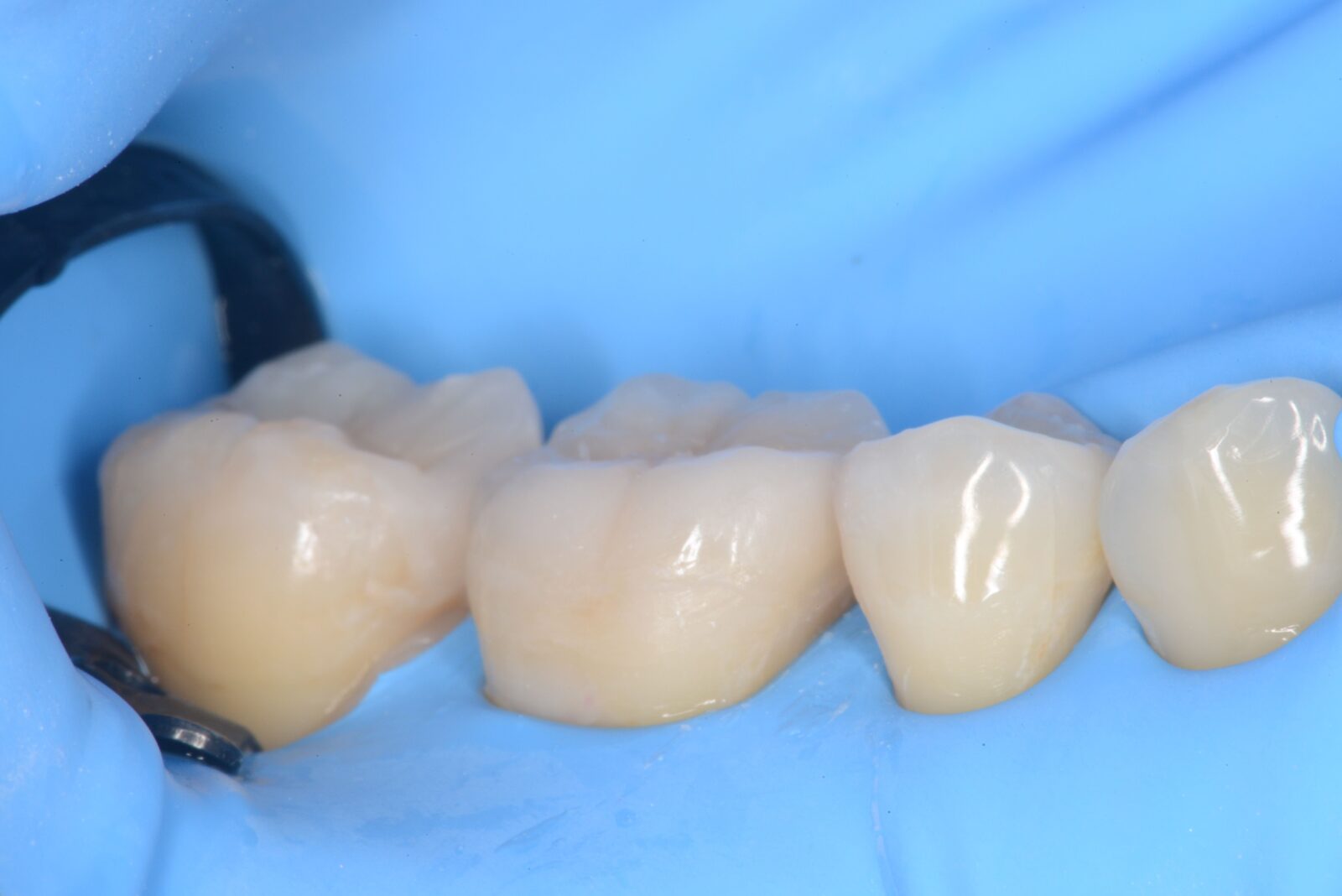
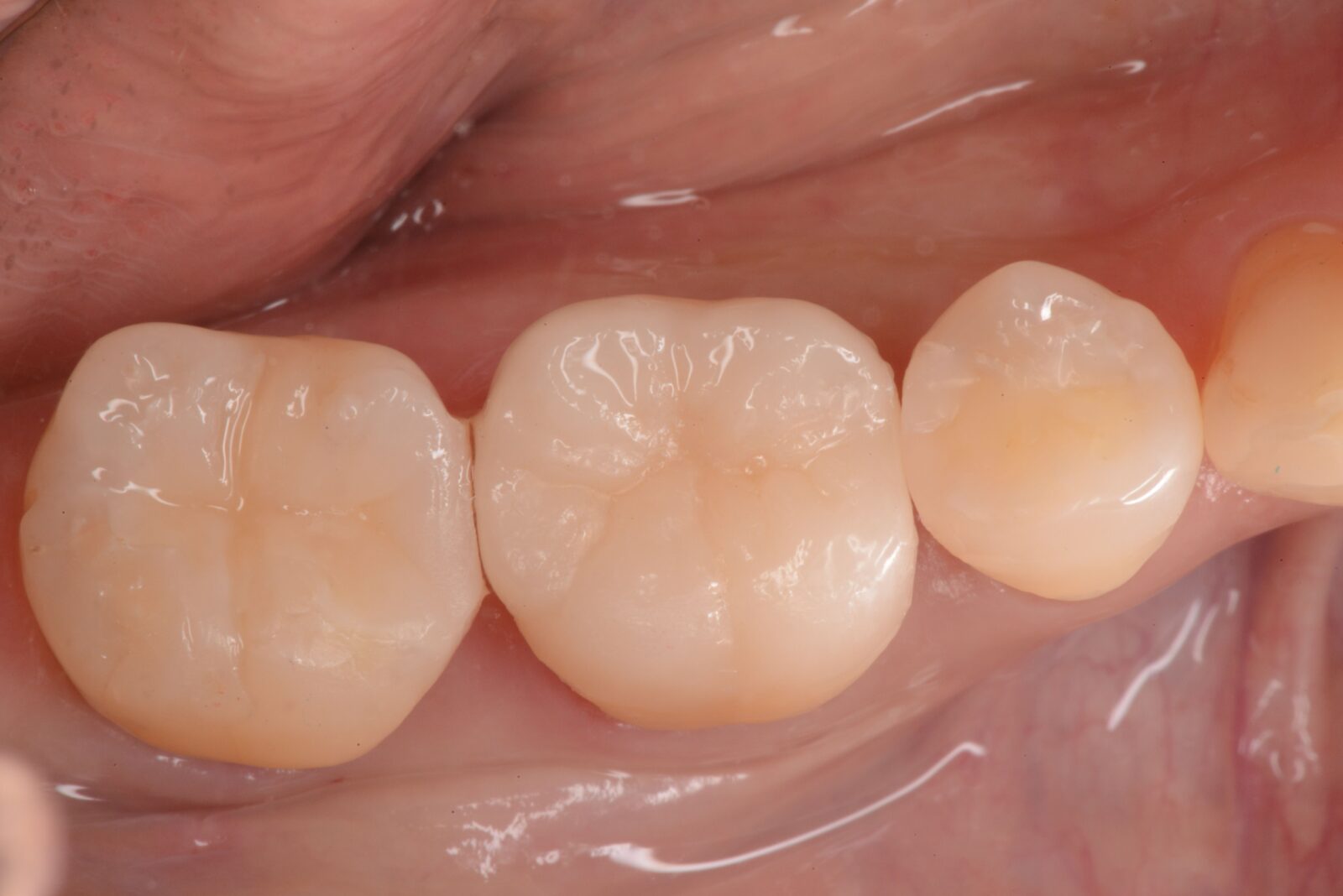
金属の修復物と感染歯質を除去
↓
最小限の歯の形の調整(その後、型取り)
↓
完成したセラミックスを接着(表面の汚れを徹底的に除去し、表面処理を行う)
↓
咬合の確認
| 主訴 | 虫歯の治療 |
|---|---|
| 治療期間 | 2回(3週間) |
| 費用 | 132,000円(税込み) |
| リスク・副作用 | チッピング |
当院では、患者さんが抱えていらっしゃるお口のお悩みや疑問・不安などにお応えする機会を設けております。どんなことでも構いませんので、私たちにお話ししていただけたらと思います。
ご興味がある方は下記からお問い合わせください。