治療症例集

キービジュアル
治療前 治療後

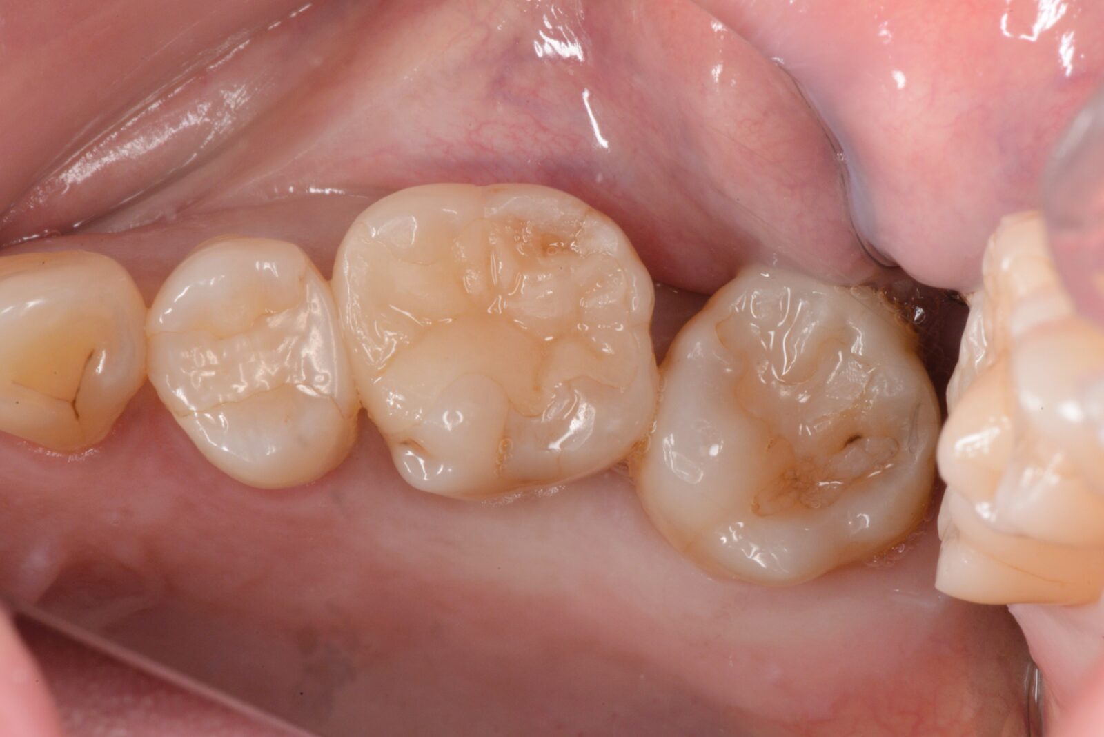
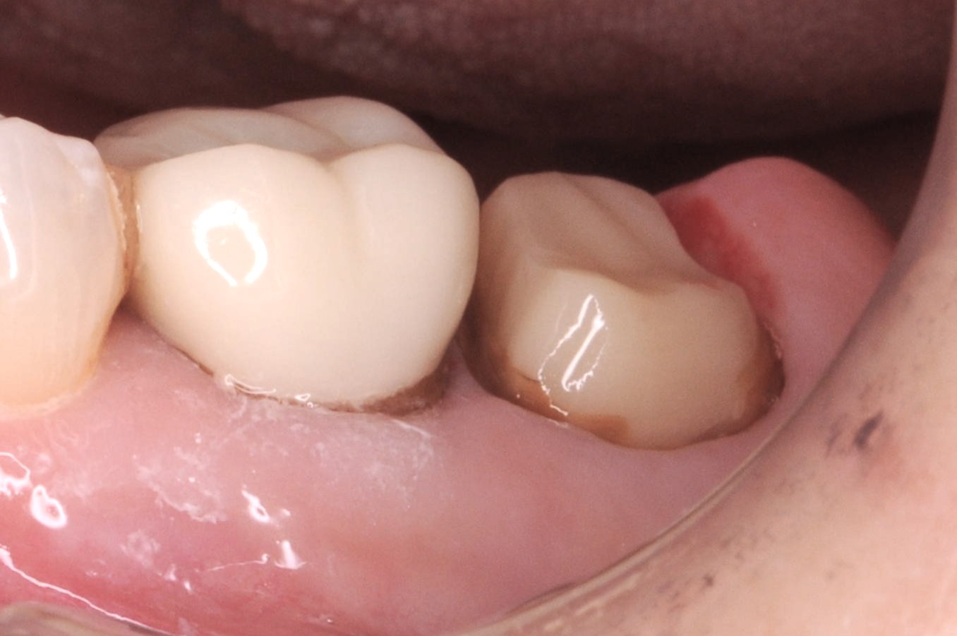
右上7精密根管治療~セラミックス補綴

噛んだ時の違和感を訴えられ、以前のセラミックスクラウンを除去し根管治療開始。 ラバーダム下での2回の根管治療を経て、根管充填と支台築造を行った状態から、精密なクラウン用の形成と印象を行い、セラミックスクラウンの装着。 奥から2番目の他院のセラミックスは縁取りが歯と合っておらず、また、表面…

2026.2.15

治療前 治療後

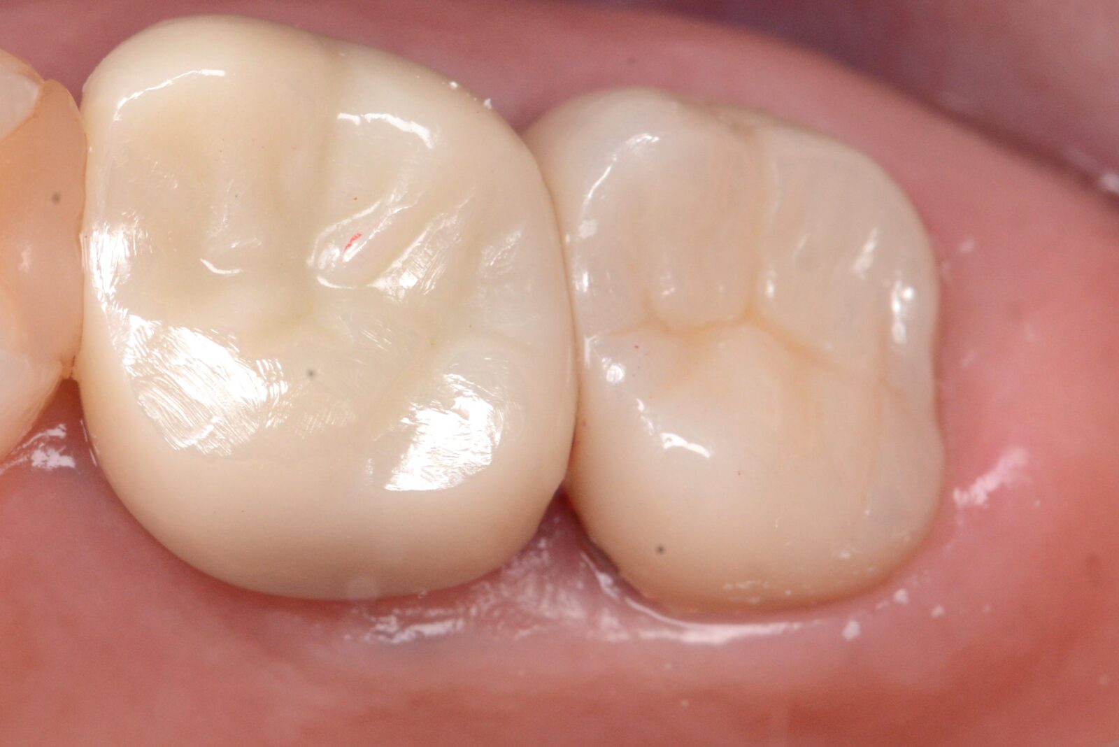
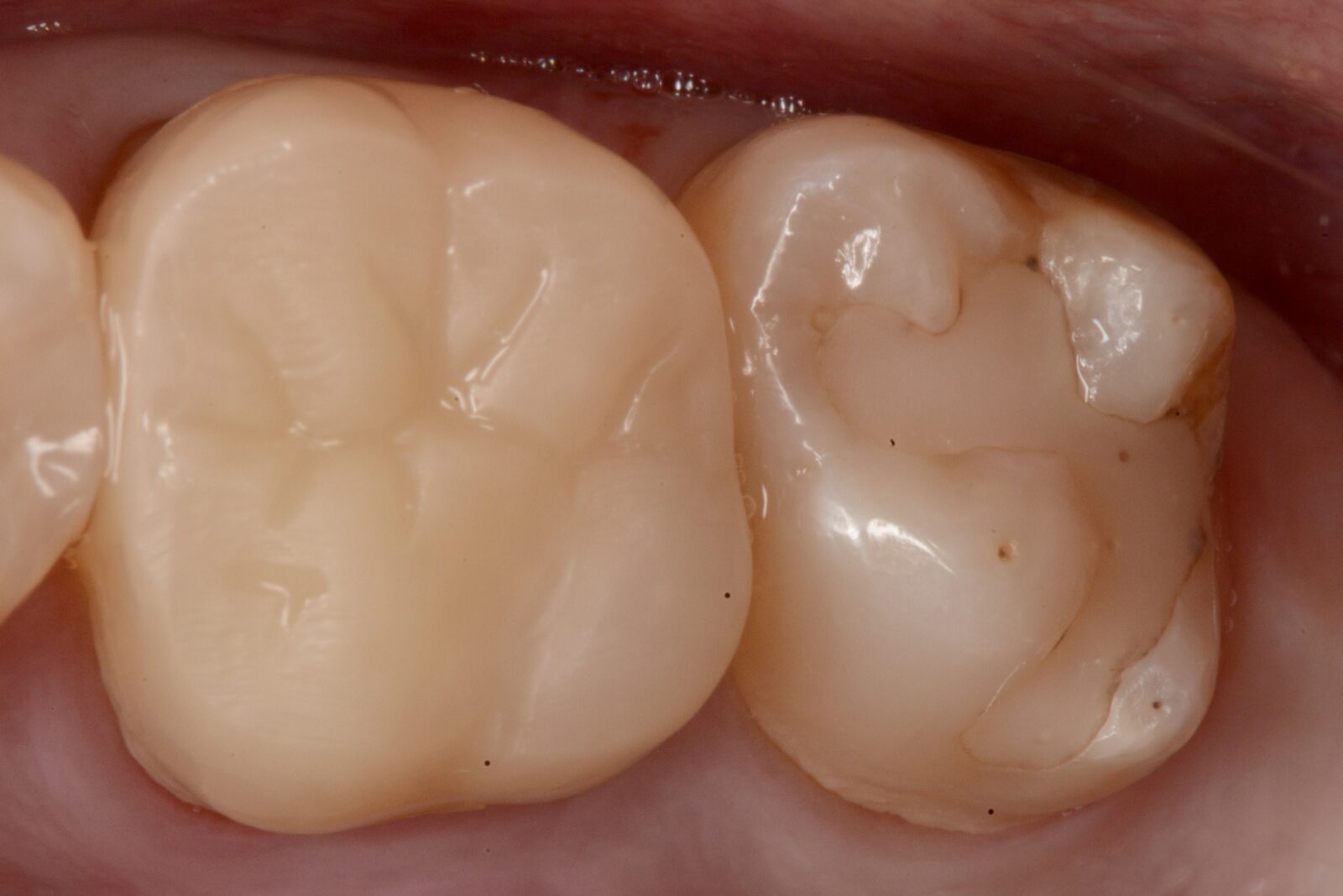
右下7ダイレクトボンディング

虫歯の治療希望で、右下の旧充填物と感染歯質の除去。 ラバーダム下で、プラークアウトと歯面処理を行い、接着操作とレジン充填を行った。 咬合調整はほぼなく研磨で終了。

2026.2.15

治療前 治療後

前回に続き、左上5ダイレクトボンディング

前回の左上6,7のダイレクトボンディング後、左上5の治療を希望。 プラーク、旧充填物と感染歯質を除去し、エッチング・プライミング・ボンディング操作を行い、歯の間の接触する部分を再建したのち、嚙み合わせ面をファイバー繊維の含まれるコンポジットレジンとペースト状の自費用コンポジットレジンで…

2026.1.26

治療前 治療後

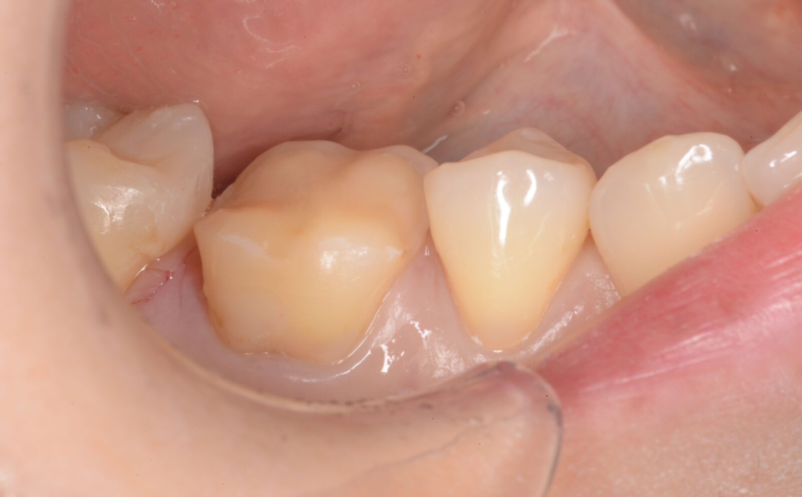
右上7ダイレクトボンディング

他の歯に続き不良修復物を治したいとのご希望。   旧充填物と感染歯質を除去し、表面のプラークを染め出し除去。   その後、エッチング・プライミング・ボンディング処理を行い、ファイバー繊維入りのコンポジットレジンを下地として敷き、その上に自費のコンポジットレ…

2026.1.25

治療前 治療後

上顎前歯部ダイレクトボンディング

以前、他院で充填したコンポジットレジンの変色が気になるとのことで、上顎前歯部6本の充填のやり直し希望。 事前に、模型を作製し、予測完成状態を確認していただき、了承を得たため、治療開始。 ラバーダム下で、旧充填物と虫歯を除去し、自費コンポジットレジンを使用し充填。表面のコーティングと研磨を…

2026.1.16

治療前 治療後

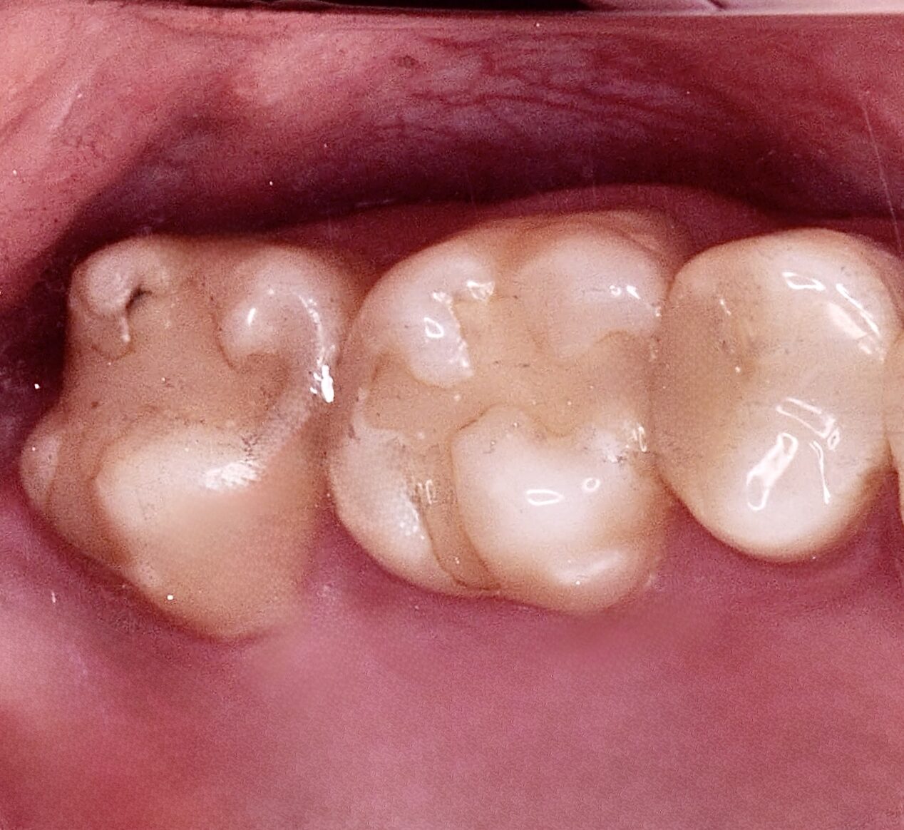
左上6,7ダイレクトボンディング

左上6➡他院で治療したセラミックスの接着不良からの二次感染。 左上7➡コンポジットレジンの接着不良からの二次感染。   ともに、旧充填物と感染歯質を除去後、歯面処理と接着操作を行う。 その後、ダイレクトボンディングにて、充填処置を行い、ティント(ブラウンとホワイト)…

2025.12.17

治療前 治療後

左上7ダイレクトボンディング

局所麻酔後に、古い詰め物を除去。   う蝕検知液で染色し、取り残しなく感染歯質を除去。   その後、ラバーダムを装着し、改めて取り残しがないかを確認。   見えている歯をプラークチェッカーで赤く染めて、表面の汚れを徹底的に清掃…

2025.12.13

治療前 治療後

全顎的治療(インプラント+矯正)

臼歯部の根尖病巣と咬合状態の不整があり、全体的な治療を希望。   歯根破折や以前の根管治療時の穿孔などにより、保存不可能な臼歯部を抜歯。   事前にシミュレーションしておいた矯正治療後の歯の並びをもとに、適切な位置にインプラント埋入。   …

2025.12.11

治療前 治療後

ホワイトスポット(ICON治療)

2025.12.5

治療前 治療後

左下5ダイレクトボンディング

銀歯の縁が合っておらず、フロスが引っかかるので治したいということで、外して治療しました。   外してみると、中に虫歯ができており、う蝕検知液で確認しながら完全に除去します。 ラバーダムを行い、唾液による感染や水分による接着力の低下を防ぎ、歯の形を再現して詰めます。 …

2025.10.12

初診「個別」相談へのご案内

当院では、患者さんが抱えていらっしゃるお口のお悩みや疑問・不安などにお応えする機会を設けております。どんなことでも構いませんので、私たちにお話ししていただけたらと思います。
ご興味がある方は下記からお問い合わせください。

24時間受付中 WEB予約

ご予約・お問い合わせ

022-796-8078

〒982-0011
宮城県仙台市太白区長町7丁目19-26
メディカルビル リーブス3階
地下鉄南北線 長町南駅徒歩5分