2025年12月11日












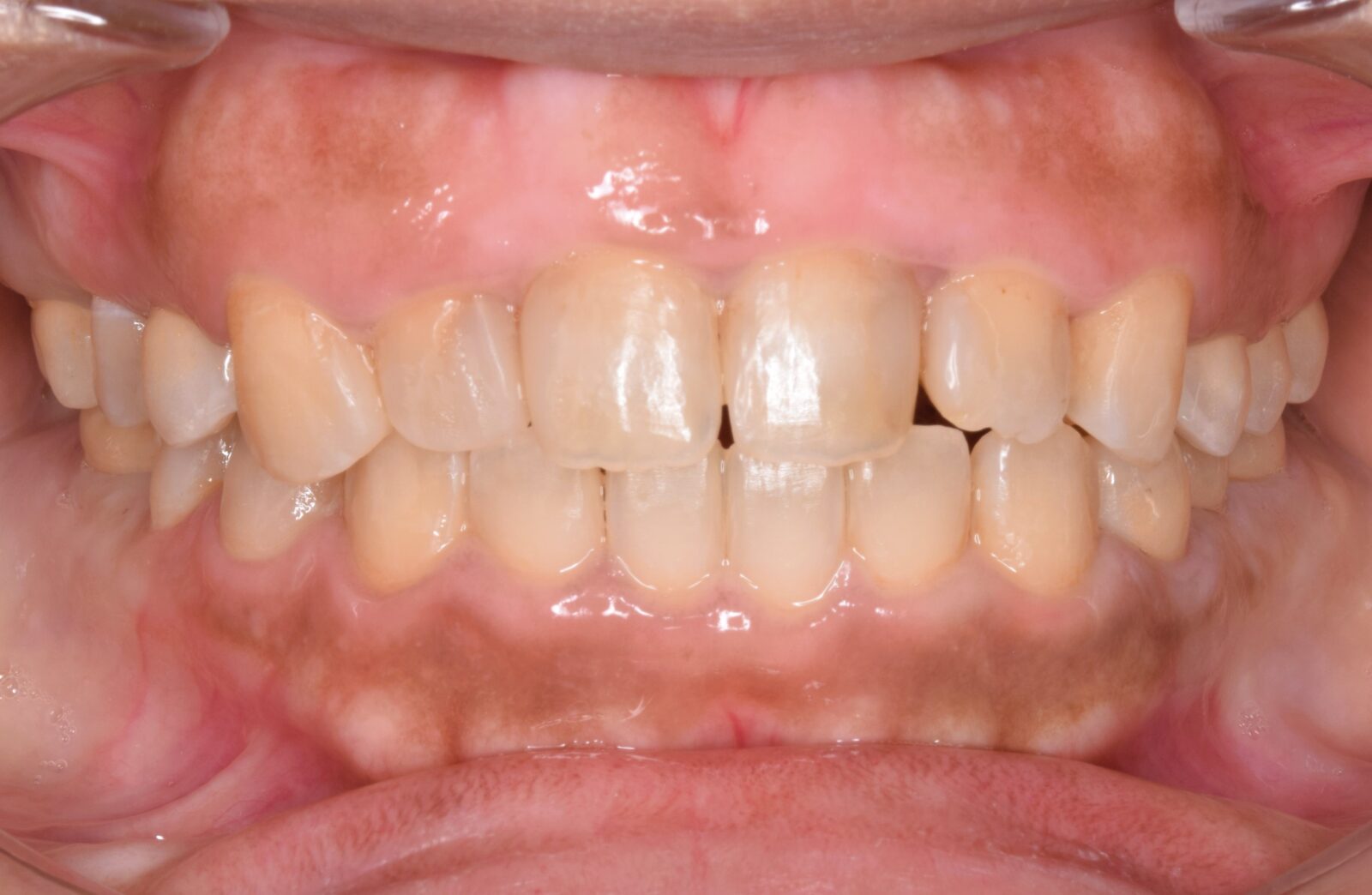
臼歯部の根尖病巣と咬合状態の不整があり、全体的な治療を希望。
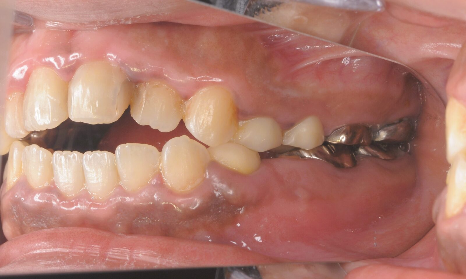
歯根破折や以前の根管治療時の穿孔などにより、保存不可能な臼歯部を抜歯。
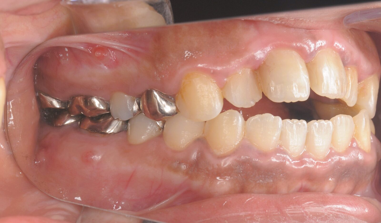
事前にシミュレーションしておいた矯正治療後の歯の並びをもとに、適切な位置にインプラント埋入。
インプラントの安定を待って、仮歯を装着し、矯正治療をインビザライン(マウスピース矯正)にて開始。
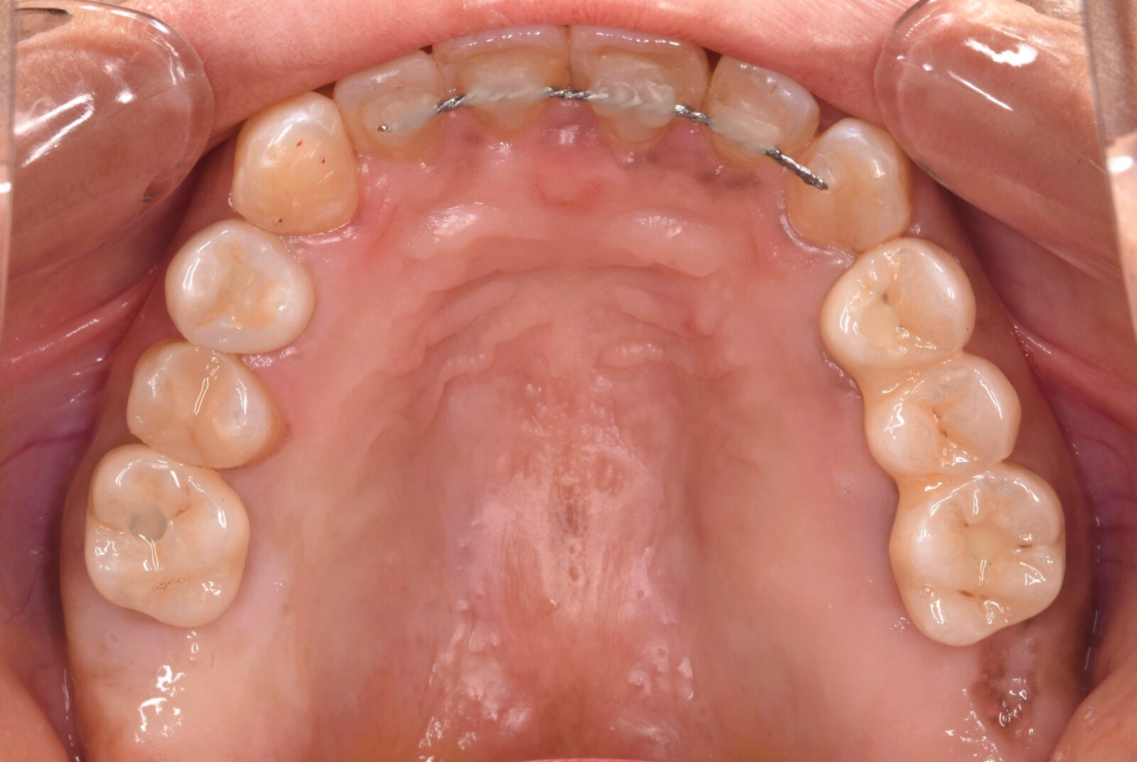
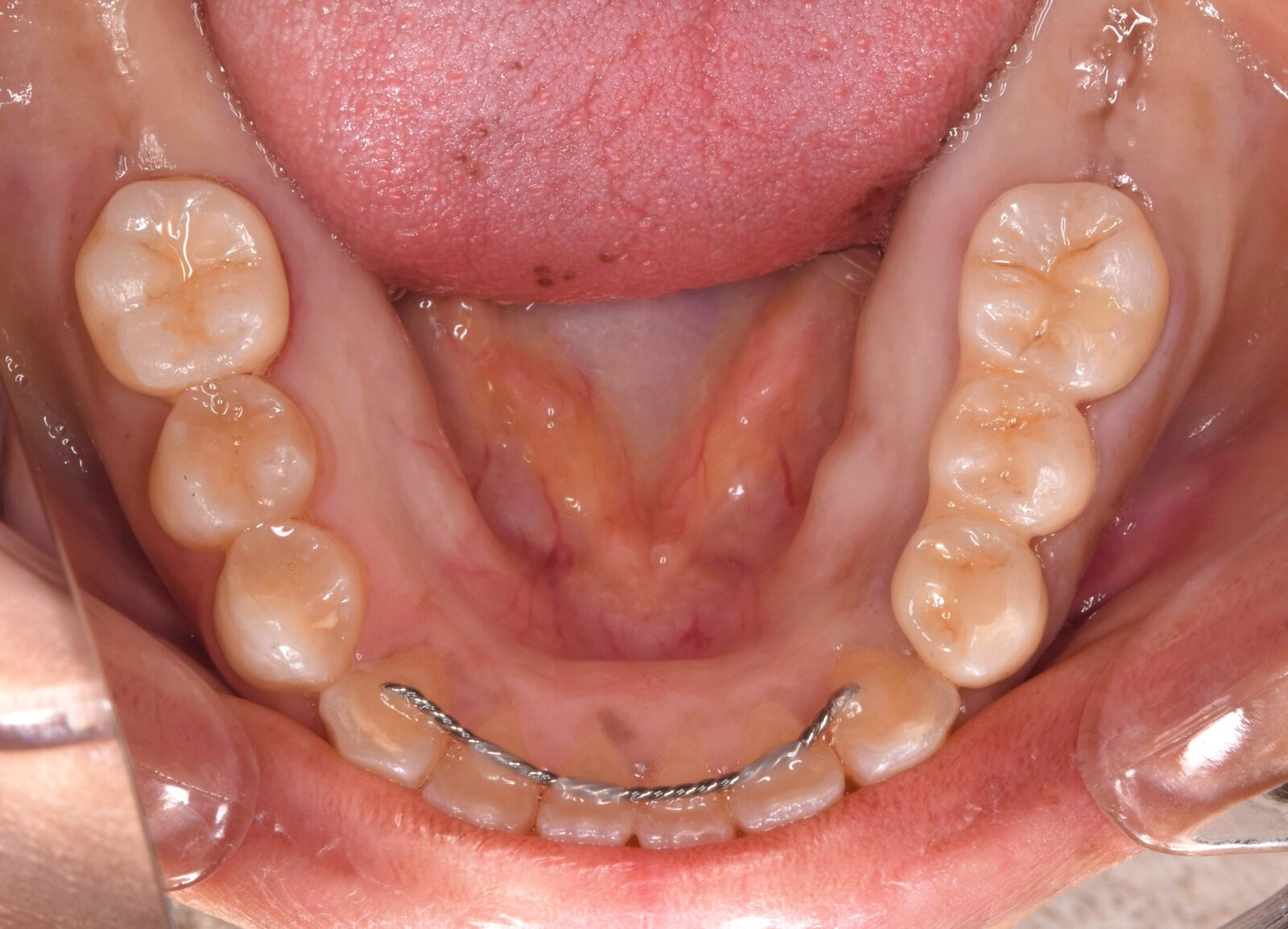
患者様の納得する位置に移動したところで、インプラントの最終的な上部構造を装着。
その後の患者様の希望により、上顎前歯部の充填治療を行い、歯冠形態の修正を行う予定。
| 主訴 | 根管治療を含む全体的な治療希望 |
|---|---|
| 診断名 | 歯根破折、重度根尖病巣、前歯部開咬、咬合の不整 |
| 治療期間 | 2年 |
| 費用 | 400万円(税込み) |
| リスク・副作用 | インプラント周囲炎 |
当院では、患者さんが抱えていらっしゃるお口のお悩みや疑問・不安などにお応えする機会を設けております。どんなことでも構いませんので、私たちにお話ししていただけたらと思います。
ご興味がある方は下記からお問い合わせください。