2026年2月15日



噛んだ時の違和感を訴えられ、以前のセラミックスクラウンを除去し根管治療開始。
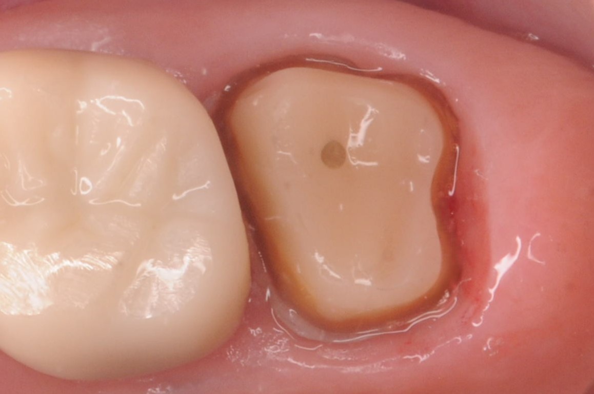
ラバーダム下での2回の根管治療を経て、根管充填と支台築造を行った状態から、精密なクラウン用の形成と印象を行い、セラミックスクラウンの装着。
奥から2番目の他院のセラミックスは縁取りが歯と合っておらず、また、表面も嚙み合わせの調整を行った傷が残っている状態。
今後、再感染と破損が不安な状況。
| 主訴 | 根管治療と被せもののやり直し希望 |
|---|---|
| 診断名 | 慢性根尖性歯周炎 |
| 治療期間 | 5回/2か月 |
| 費用 | ¥220,000(税込み) |
| リスク・副作用 | 歯根破折、根尖病巣の再発 |
当院では、患者さんが抱えていらっしゃるお口のお悩みや疑問・不安などにお応えする機会を設けております。どんなことでも構いませんので、私たちにお話ししていただけたらと思います。
ご興味がある方は下記からお問い合わせください。