2025年4月23日




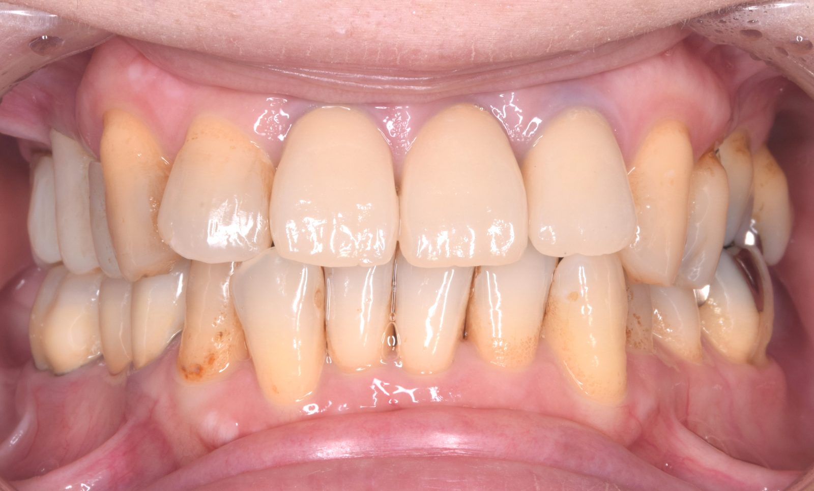
前歯部の補綴物不適合+歯肉ラインの不揃い ➡ 歯肉の位置を揃え、プロビジョナルクラウンにて、形態、発音、機能性を確認してもらう ➡ 最終補綴物(セラミックス)に移行
| 主訴 | 前歯をきれいにしたい |
|---|---|
| 治療期間 | 3ヶ月 |
| 費用 | ¥550,000(税込み) |
| リスク・副作用 | 歯ぎしりによるチッピング、脱離 |
当院では、患者さんが抱えていらっしゃるお口のお悩みや疑問・不安などにお応えする機会を設けております。どんなことでも構いませんので、私たちにお話ししていただけたらと思います。
ご興味がある方は下記からお問い合わせください。