臼歯部セラミックス治療

キービジュアル

臼歯部セラミックス治療

2025年4月23日

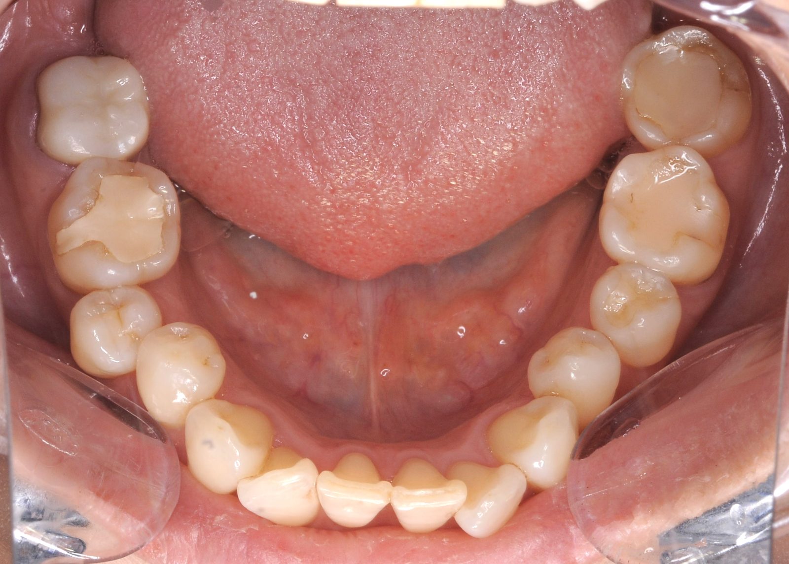
  • 治療前
  • 治療後
  • 治療前
  • 治療後

ガイドラインに基づく症例情報

主訴 奥歯の治療をやり替えたい
治療期間 6か月
費用 ¥1,320,000(税込み)
リスク・副作用 歯ぎしりによるチッピング

初診「個別」相談へのご案内

当院では、患者さんが抱えていらっしゃるお口のお悩みや疑問・不安などにお応えする機会を設けております。どんなことでも構いませんので、私たちにお話ししていただけたらと思います。
ご興味がある方は下記からお問い合わせください。

24時間受付中 WEB予約

ご予約・お問い合わせ

022-796-8078

〒982-0011
宮城県仙台市太白区長町7丁目19-26
メディカルビル リーブス3階
地下鉄南北線 長町南駅徒歩5分