2025年4月23日




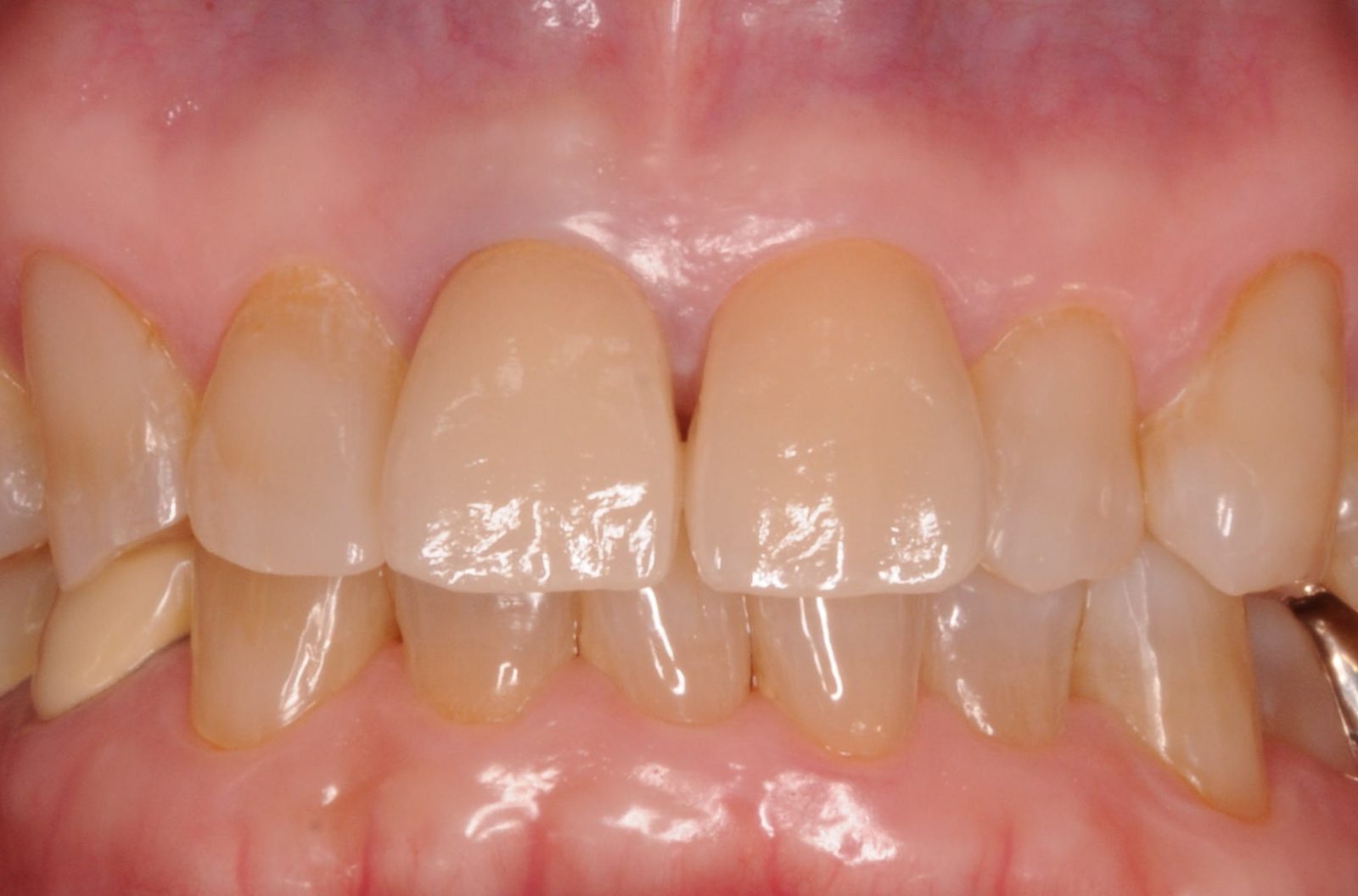
右上1の不適合な補綴物や左上1の充填物を除去し、プロビジョナルクラウンを装着。
右上2のダイレクトボンディングにより、形態回復
➡ 審美性、機能性を確認
➡ 最終補綴物(セラミックス)へ移行
| 主訴 | 前歯をきれいにしたい |
|---|---|
| 治療期間 | 3ヶ月 |
| 費用 | ¥363,000(税込み) |
| リスク・副作用 | 強い歯ぎしりによるチッピング |
当院では、患者さんが抱えていらっしゃるお口のお悩みや疑問・不安などにお応えする機会を設けております。どんなことでも構いませんので、私たちにお話ししていただけたらと思います。
ご興味がある方は下記からお問い合わせください。